
- Product Overview
- Imaging Capabilities
- Downloads
At a glance
Precision and reproducibility
Use the advanced quantitative tools of Vivid S70N Ultra Edition* to improve echocardiographic imaging and achieve excellent reproducibility of your examination results.
Shorter examination times
Artificial intelligence algorithms reduce manual steps and help you improve the efficiency of your workflow through automated processes. For less clicks, high accuracy and optimal reproducibility.
DICOM® connection
Simplify your workflow: Vivid S70N allows you to process and analyze all clinical images using industry-standard DICOM® data and include them in your reporting system.
Exceptional processing power
Take advantage of our powerful cSound™ software beamformer, which uses artificial intelligence based on GE HealthCare's Edison™ platform.
Vivid S70N Ultra Edition
Maximize your clinical confidence
Our ultrasound systems are designed to help you maximize your efficiency, achieve accurate measurements more easily and thus minimizing errors. Take advantage of a wide range of advanced quantification tools, developed to help you analyze complex issues and achieve reproducible results in your cardiovascular exams.
Advanced probe technology
In combination with GE HealthCare's Matrix XDclear™ probe technology, the Vivid S70N enables you to acquire 2D ultrasound images with excellent contrast and high temporal and spatial resolution.
Tools like Color Flow allow for excellent colour sensitivity and depth, while our True Confocal Imaging software makes focus zones obsolete. As a consequence, you can deliver crisp ultrasound images, even under challenging conditions, for instance the examination of obese patients.
Product Highlights
Intelligent design for perfect ergonomics

22" LCD monitor
View your ultrasound images in ultra-high resolution and with excellent contrast.
Excellent operator interface
Vivid S70N comes with a height- and side-adjustable control panel and is equipped with a 12" high-resolution LCD multi-touch screen.
Silent and economical
Silent fans and low heat dissipation ensure reduced power consumption and minimal background noise.
Battery-powered standby
Always ready when you need it: Get your Vivid S70N up and running in a few seconds.
Exceptional mobility
Use the Vivid S70N wherever you need it. Thanks to its four swivel casters (lockable) and grab handles on the front and rear, the lightweight system offers exceptional mobility.
Product brochure
Discover detailed information about the Vivid S70N ultrasound system and learn how it will help you to deliver confident care efficiently.

References
* Ultra Edition is not a product name, it refers to the 2022 release of the Vivid portfolio.
Ultra fast. Ultra precise. Ultra efficient.
Shorter examination times. Increased precision.
Artificial intelligence algorithms enable the Vivid S70N Ultra Edition* to reduce manual steps and help improve the efficiency of your workflow through automated processes. With automated Cardiac Auto-Doppler and 2D-LV measurements, you can speed up your examinations and achieve maximum reproducibility of examination results.
The Vivid S70N is designed specifically for your cardiac imaging needs, but also supports you in other clinical areas such as internal medicine and pediatrics.
Up to 80% fewer klicks¹ thanks to AI Auto Measure 2D
AI Auto Measure 2D semi-automatically measures left ventricle diameters from the parasternal long axis (PLAX). In this process, artificial intelligence algorithms recognize an end-diastolic and end-systolic image from an acquired parasternal long axis.

Cardiac Auto Doppler with AI Auto Measure Spectrum Recognition
With the power of AI, a wide range of Doppler measurements can be completed with two clicks: Freeze – Measure. A Doppler trace and full set of associated measurements will instantly appear on the screen. So you will need up to 93% fewer keystrokes.²
EASY AFI LV with View Recognition
Easy AFI is the third generation of the 2D speckle tracking analysis tool for quantitative assessment of global and segmental myocardial function, which additionally detects the individual apical sectional planes fully automatically.
Through new AI-based detection algorithms, EASY AFI allows you to perform strain analysis without manual interaction. All you have to do is initiate the analysis and approve the results with one click – you will receive the results in only 15 seconds.³


EASY AutoEF: Results with just one click⁴
In addition to our AutoEF quantification tool, which already automatically recognises the necessary sections (4-chamber and 2-chamber view) and selects them for the calculation, you can now determine the EF without manual interaction using our AI-based Auto-ROI recognition algorithms. All you have to do is initiate the analysis and approve the results with just one click.
Clinical Images
Interdisciplinary use in cardiology, pediatrics and internal medicine
True Confocal Imaging enables excellent spatial and temporal contrast resolution in the 2D image.
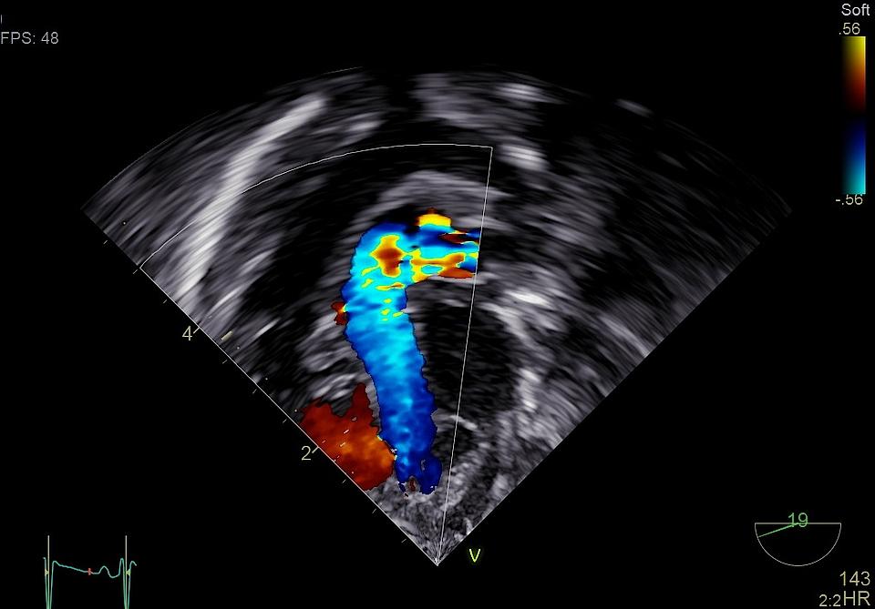
Color Flow: State-of-the-art transducer technology delivers outstanding colour sensitivity, contrast resolution and colour depth.

Vascular imaging: View near-surface and deep vessels in maximum resolution with the help of our XD clear probes in combination with our software beamformer cSound™ 3.0.

Achieve excellent spatial resolution with impressive penetration in your abdominal exams, thanks to the conjunction of XDclear probes with cSound 3.0

Probes specially designed for pediatric use allow for the visualization of small structures in the best possible quality and reliability.
10T-D Micro TEE: The Micro Multiplane TEE probe gives you high diagnostic confidence, even during the very complex scan of a neonatal patient's heart >2.5kg"






References
- The Role of AI in Streamlining Echocardiography Quantification White Paper, Kristin McLeod, Jurica Sprem JB20789XX.
- Based on results of time and motion study conducted by GE “JB49055XX - Cardiac Auto Doppler”; study results indicated time savings related productivity increase up to ~8 on an annual basis for a facility per sonographer.
- Time to strain measurement result may vary with heart rate, frame rate and Vivid system. Verification of performance done by GEHC clinical application specialists using Vivid system (DOC2739637).
- Easy AutoEF is restricted for use with adult TTE on GE Healthcare raw B-mode data loops of the LV. Easy AutoEF does not support left ventricles with septal bulge.
* Ultra Edition is not a product name, it refers to the 2022 release of the Vivid portfolio.
Dive into the world of Vivid S70N Ultra Edition*
In this section you will find valuable and detailed information on Vivid S70N and its features. Choose from brochures, whitepapers and case studies that offer you detailed insights into the functioning and application areas of our ultrasound system.
Product brochure
Discover detailed information about the Vivid S70N Ultra Edition ultrasound system and learn how it will help you to deliver confident care efficiently.

References
* Ultra Edition is not a product name, it refers to the 2022 release of the Vivid portfolio.