La dernière version LOGIQ portée par l’IA… et bien plus encore

  • 20. Mars 2026
  • Temps de lecture 4 min
  • Radiologie

Lors de l’European Congress of Radiology (ECR) 2026, nous avons présenté la dernière évolution des plateformes LOGIQ™. Plus qu’une évolution technologique, elle s'affirme comme une échographie augmentée par l’intelligence artificielle. Où performance, automatisation et précision convergent pour accompagner les cliniciens au quotidien.

Avec cette dernière génération LOGIQ, GE HealthCare confirme son ambition : accompagner les cliniciens avec des solutions qui soutiennent la qualité des examens, l’efficacité opérationnelle et la confiance dans la prise de décision.

L’intelligence artificielle : au cœur de la performance clinique

L’IA intégrée du nouveau LOGIQ automatise des étapes clés du workflow pour rendre les examens plus rapides et plus cohérents. Basée sur la segmentation anatomique et des algorithmes de deep learning, elle propose :

Auto Abdominal Suite 2.0 : une numérisation plus intelligente et plus rapide grâce aux nouvelles fonctionnalités d’IA pour l’évaluation hémodynamique abdominale, qui améliore la cohérence et augmente la productivité grâce à la reconnaissance anatomique intelligente.
SmartEdit : ajustement temps réel des tracés générés par l’IA, limitant les manipulations supplémentaires.
Auto Renal Measure Assistant : détection automatique du rein et calcul des dimensions en quelques secondes.
Auto Preset Assistant : activation automatique du préréglage adapté selon la zone anatomique détectée.

Ces outils visent à accompagner les équipes face à l’augmentation du volume d’examens tout en facilitant la standardisation des pratiques au sein des services d’imagerie.

Une qualité d’image redéfinie : précision, homogénéité, profondeur

Au-delà de l’IA, la nouvelle génération LOGIQ se distingue par une qualité d’image remarquablement optimisée, répondant aux exigences croissantes de l’imagerie moderne.

Ces améliorations sont notables sur 3 points essentiels :
• Une résolution spatiale remarquable, pour une visualisation fine des structures
• Une homogénéité en profondeur renforcée, essentielle en imagerie abdominale et vasculaire
• Une meilleure définition des contours et des interfaces tissulaires

Cette qualité d’image permet une lecture plus précise, notamment dans les situations complexes ou les diagnostics précoces.

La sonde L4-20t : une nouvelle dimension en imagerie superficielle

Parmi les innovations présentées, la sonde L4‑20t illustre parfaitement l'apport technologique en matière d’imagerie superficielle.  Grâce à son architecture avancée et à sa large bande passante allant jusqu’à 20 MHz, elle permet :

• Une résolution ultra-haute fréquence
• Une visualisation détaillée des structures superficielles
• Une polyvalence clinique étendue que ce soit en musculo-squelettique, en senologie ou en parties molles.

Elle ouvre de nouvelles perspectives en imagerie de précision, notamment pour les applications nécessitant un niveau de détail avancé sans sacrifier la pénétration.

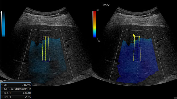
UGFF : LOGIQ franchit un cap dans la quantification

Avec l’introduction du mode UGFF (Ultrasound Guided Fat Fraction), le nouveau LOGIQ ne se contente plus de produire des images de qualité, il quantifie le pourcentage d'infiltration graisseuse !

Cette innovation marque une avancée majeure dans l’évaluation de la stéatose hépatique car elle est une des seules à utiliser une technologie basée sur 3 paramètres pour plus de précision et de robustesse :

• Mesure quantitative, non invasive et rapide de la fraction graisseuse
• Détection améliorée des stades précoces (S1, S2) et avancés (S3)
• Contribution à une prise en charge plus précoce et personnalisée
• Dans un contexte d’augmentation des pathologies métaboliques, UGFF positionne 

L’échographie comme une alternative robuste et accessible aux techniques plus lourdes, tout en apportant une valeur clinique significative.

Téléchargez le Whitepaper UGFF 

La nouvelle génération LOGIQ™ associe intelligence artificielle, qualité d’image avancée et outils de quantification pour accompagner les cliniciens dans des examens plus précis, plus structurés et adaptés aux besoins d’aujourd’hui.

Pour en savoir plus sur ces innovations et découvrir comment elles peuvent soutenir vos pratiques d’imagerie, explorez l’univers LOGIQ™ dès maintenant

Références
1 Available with SmartEdit, which enables easy segmenting of structures within an image. Renal, aorta, and CBD measurements.

Mentions légales
Les produits LOGIQ E10 sont des systèmes professionnels de diagnostic par échographie transmettant des ondes ultrasonores dans les tissus corporels et formant des images à partir des informations contenues dans les échos reçus. Ce dispositif est destiné à être utilisé par un médecin qualifié dans le cadre de la réalisation d'évaluations échographiques pour l'acquisition d'images à des fins de diagnostic, notamment pour la réalisation de mesures sur l'image acquise. Classe : IIa Fabricant : GE Medical Systems Ultrasound and Primary Care Diagnostics, LLC. Organisme notifié : TUV Rheinland [CE0197] Toujours consulter le Manuel de l'utilisateur complet avant toute utilisation et lire attentivement toutes les instructions pour assurer l'emploi correct de votre dispositif médical. Dernière révision : 30 juin 2020
Les produits LOGIQ Fortis sont des systèmes professionnels de diagnostic par échographie transmettant des ondes ultrasonores dans les tissus corporels et formant des images à partir des informations contenues dans les échos reçus. Ce dispositif est destiné à être utilisé par un médecin qualifié dans le cadre de la réalisation d'évaluations échographiques pour l'acquisition d'images à des fins de diagnostic, notamment pour la réalisation de mesures sur l'image acquise. Classe : IIa Fabricant : GE Ultrasound Korea, Ltd. Organisme notifié : TUV Rheinland [CE0197] Toujours consulter le Manuel de l'utilisateur complet avant toute utilisation et lire attentivement toutes les instructions pour assurer l'emploi correct de votre dispositif médical. Dernière révision : 09 mars 2022
Les produits LOGIQ sont des systèmes professionnels de diagnostic par échographie transmettant des ondes ultrasonores dans les tissus corporels et formant des images à partir des informations contenues dans les échos reçus. Ce dispositif est destiné à être utilisé par un médecin qualifié dans le cadre de la réalisation d'évaluations échographiques pour l'acquisition d'images à des fins de diagnostic, notamment pour la réalisation de mesures sur l'image acquise. Classe : IIa Fabricant : GE Ultrasound Korea, Ltd. Organisme notifié : LNE/G-MED, France - NB. No.: 0459. Veuillez toujours consulter le Manuel de l'utilisateur complet avant toute utilisation et lire attentivement toutes les instructions pour assurer l'emploi correct de votre dispositif médical. Dernière révision ; 16 janvier 2013"
LOGIQ Totus. Utilisation prévue : Le LOGIQ Totus est un système de diagnostic par échographie à usage général. Ce dispositif est destiné à être utilisé par des professionnels de la santé qualifiés dans le cadre de la réalisation d'évaluations échographiques pour l'acquisition d'images, de mesure, de l'affichage et de l'analyse du corps humain et des fluides. Les applications cliniques de LOGIQ Totus incluent : Fœtal / Obstétrique ; Abdominal (y compris Rénal, Gynécologie/Pelvien) ; Pédiatrique ; Parties molles (Sein, Testicules, Thyroïde) ; Néonatal Céphalique ; Adulte Céphalique ; Cardiaque (Adulte et Pédiatrique) ; Vasculaire Périphérique ; Musculo-squelettique Conventionnel et Superficiel ; Urologie (y compris Prostate) ; Transrectal ; Transvaginal.  Classe/Organisme Notifié : IIa / CE0197.  Fabricant : GE Ultrasound Korea, Ltd.  Toujours se référer au manuel de l'utilisateur complet avant utilisation et lire attentivement toutes les instructions pour assurer le bon usage de votre dispositif médical. 
Dernière révision : 22 avril 2024

Sonde L4-20 : Une sonde échographique est un dispositif d'image échographique fixé à la console d'un système d'échographie et utilisé à des fins de diagnostic, notamment pour la réalisation de mesures sur l'image acquise. Ce dispositif est destiné à être utilisé par des médecins qualifiés et des échographistes professionnels disposant de connaissances élémentaires en matière d'échographie. Classe : IIa (Probes) | Fabricant : GE Medical Systems (China) Co. Ltd. |Organisme notifié : TÜV Rheinland [CE0197] 
Veuillez toujours consulter le Manuel de l'utilisateur complet avant toute utilisation et lire attentivement toutes les instructions pour assurer l'emploi correct de votre dispositif médical.