Confiance dans la prise en charge des troubles musculosquelettiques
L'échographie occupe une place prépondérante en imagerie musculosquelettique notamment en rhumatologie, orthopédie et médecine du sport. Le bénéfice du temps réel associé à une imagerie haute fréquence améliorée, rendent l'échographie idéale pour le diagnostic et la prise en charge de divers troubles musculosquelettiques.
Les échographes LOGIQ vous accompagnent efficacement dans tous les types d’examens ostéo-articulaires que ce soit pour des pathologies traumatiques ou inflammatoires.
Point d'application
Tendons
L’imagerie haute résolution des sondes matricielles permet l’analyse précise de la structure tendineuse et notamment de l’aspect fibrillaire.
Nerfs
La détection et l’évaluation des nerfs sont facilitées par la résolution de contraste du cSound et les sondes ultra haute fréquence.
Ligaments
La visualisation des ligaments, même les plus petits, est optimisée par la résolution et la maniabilité de la sonde club de golf.
Muscles
Les sondes matricielles offrent une excellente différenciation sur toute la profondeur pour une étude précise des structures musculaires.
Articulations
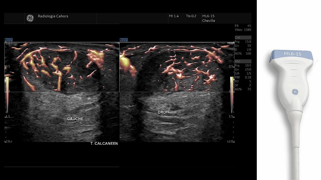
La quantification des pathologies inflammatoires repose sur des outils sensibles et reproductibles tels que le MVI ou le Compare assistant.
Interventionnel
Un guidage de précision requiert l’association de sondes adaptées, de fonctions de visualisation et de renforcement d’aiguille.
Images cliniques
Une sonde pour chaque besoin
Sondes matricielles
La technologie de sonde matricielle associée à l'architecture cSound permet d'optimiser le signal sur toute la profondeur. Il en résulte
une Image dotée d'une résolution spatiale exceptionnelle du champ proximal au champ profond, permettant une représentation et une analyse précises des structures pour tous les patients.


Sondes ultra haute frequence
Les sondes d'échographie dotées de fréquence supérieures à 20 MHz permettent un accès à la très haute résolution d’image pour détecter et analyser précisément les structures les plus petites.
MVI
Micro Vascular Imaging : Ce mode de micro-vascularisation, une détection et une caractérisation plus fiable de celles-ci pour mieux évaluer les pathologies inflammatoires.
LOGIQ E10. Les produits LOGIQ E10 sont des systèmes professionnels de diagnostic par échographie transmettant des ondes ultrasonores dans les tissus corporels et formant des images à partir des informations contenues dans les échos reçus. Ce dispositif est destiné à être utilisé par un médecin qualifié dans le cadre de la réalisation d'évaluations échographiques pour l'acquisition d'images à des fins de diagnostic, notamment pour la réalisation de mesures sur l'image acquise.
Classe : IIa | Fabricant : GE Medical Systems Ultrasound and Primary Care Diagnostics, LLC. | Organisme notifié : TUV Rheinland [CE0197]
Toujours consulter le Manuel de l'utilisateur complet avant toute utilisation et lire attentivement toutes les instructions pour assurer l'emploi correct de votre dispositif médical.
Dernière révision : 30 juin 2020
LOGIQ Fortis. Les produits LOGIQ Fortis sont des systèmes professionnels de diagnostic par échographie transmettant des ondes ultrasonores dans les tissus corporels et formant des images à partir des informations contenues dans les échos reçus.
Ce dispositif est destiné à être utilisé par un médecin qualifié dans le cadre de la réalisation d'évaluations échographiques pour l'acquisition d'images à des fins de diagnostic, notamment pour la réalisation de mesures sur l'image acquise.
Classe : IIa | Fabricant : GE Ultrasound Korea, Ltd. | Organisme notifié : TUV Rheinland [CE0197]
Toujours consulter le Manuel de l'utilisateur complet avant toute utilisation et lire attentivement toutes les instructions pour assurer l'emploi correct de votre dispositif médical.
Dernière révision : 09 mars 2022
LOGIQ Totus. Utilisation prévue : Le LOGIQ Totus est un système de diagnostic par échographie à usage général. Ce dispositif est destiné à être utilisé par des professionnels de la santé qualifiés dans le cadre de la réalisation d'évaluations échographiques pour l'acquisition d'images, de mesure, de l'affichage et de l'analyse du corps humain et des fluides. Les applications cliniques de LOGIQ Totus incluent : Fœtal / Obstétrique ; Abdominal (y compris Rénal, Gynécologie/Pelvien) ; Pédiatrique ; Parties molles (Sein, Testicules, Thyroïde) ; Néonatal Céphalique ; Adulte Céphalique ; Cardiaque (Adulte et Pédiatrique) ; Vasculaire Périphérique ; Musculo-squelettique Conventionnel et Superficiel ; Urologie (y compris Prostate) ; Transrectal ; Transvaginal.
Classe/Organisme Notifié : IIa / CE0197. | Fabricant : GE Ultrasound Korea, Ltd.
Toujours se référer au manuel de l'utilisateur complet avant utilisation et lire attentivement toutes les instructions pour assurer le bon usage de votre dispositif médical.
Dernière révision : 22 avril 2024
Sondes ML6-15
Une sonde échographique est un dispositif d'image échographique fixé à la console d'un système d'échographie et utilisé à des fins de diagnostic, notamment pour la réalisation de mesures sur l'image acquise. Ce dispositif est destiné à être utilisé par des médecins qualifiés et des échographistes professionnels disposant de connaissances élémentaires en matière d'échographie
Classe : IIa (Probes) / I (Biopsy guides) | Fabricant : GE Healthcare Japan Corporation | Organisme notifié : TÜV Rheinland [CE0197]
Veuillez toujours consulter le Manuel de l'utilisateur complet avant toute utilisation et lire attentivement toutes les instructions pour assurer l'emploi correct de votre dispositif médical.
Dernière révision : 27 juin 2023
Sonde L6-24D
Une sonde échographique est un dispositif d'image échographique fixé à la console d'un système d'échographie et utilisé à des fins de diagnostic, notamment pour la réalisation de mesures sur l'image acquise. Ce dispositif est destiné à être utilisé par des médecins qualifiés et des échographistes professionnels disposant de connaissances élémentaires en matière d'échographie
Classe : IIa | Fabricant : HUMANSCAN Co., Ltd. | Organisme notifié : TÜV Rheinland [CE0197]
Veuillez toujours consulter le Manuel de l'utilisateur complet avant toute utilisation et lire attentivement toutes les instructions pour assurer l'emploi correct de votre dispositif médical.
Dernière révision : 27 juin 2024
Sondes L4-20
Une sonde échographique est un dispositif d'image échographique fixé à la console d'un système d'échographie et utilisé à des fins de diagnostic, notamment pour la réalisation de mesures sur l'image acquise. Ce dispositif est destiné à être utilisé par des médecins qualifiés et des échographistes professionnels disposant de connaissances élémentaires en matière d'échographie
Classe : IIa (Probes) | Fabricant : GE Medical Systems (China) Co. Ltd. | Organisme notifié : TUEV Rhainland [CE0197]
Veuillez toujours consulter le Manuel de l'utilisateur complet avant toute utilisation et lire attentivement toutes les instructions pour assurer l'emploi correct de votre dispositif médical.
Dernière révision : 27 juin 2023